El ganador absoluto recibirá un premio de 100.000 euros, mientras que los tres finalistas restantes obtendrán 10.000 euros cada uno. La final se celebrará el próximo 21 de mayo en Madrid, con el apoyo académico de IE University, que ofrecerá mentoring y acompañamiento estratégico a los proyectos seleccionados.
Innovación social con impacto global
En esta novena edición, el objetivo de los premios es identificar soluciones con capacidad real de transformación social. El incremento del 34% de participación respecto a 2025 confirma el creciente interés por la innovación social basada en tecnología.
Los cuatro proyectos finalistas representan distintas áreas de impacto: salud preventiva, inclusión social, neurotecnología pediátrica y comunicación accesible.
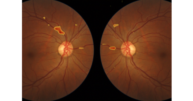
Aitheroscope: detección precoz de enfermedades cardiovasculares con IA
El proyecto español Aitheroscope, desarrollado por Horus ML, aplica inteligencia artificial en medicina preventiva para la detección temprana de la aterosclerosis mediante el análisis automatizado de retinografías.
Esta herramienta permite realizar un cribado cardiovascular no invasivo, accesible y eficiente en atención primaria, facilitando el diagnóstico precoz de una de las principales causas de enfermedades cardiovasculares. Su objetivo es ampliar el acceso a la prevención y reducir la detección tardía de patologías críticas.
Livox: comunicación inclusiva mediante inteligencia artificial
Desde Brasil, Livox se posiciona como una plataforma de comunicación inclusiva basada en IA, diseñada para personas con discapacidad que no pueden utilizar interfaces tradicionales.
La herramienta interpreta gestos, toques o movimientos mínimos como parpadeos, adaptando la experiencia al nivel de cada usuario. Actualmente está presente en 24 países y 25 idiomas, permitiendo a miles de personas comunicarse de forma autónoma y personalizada.
Duppla: prevención y diagnóstico temprano del cáncer
El proyecto mexicano Duppla es una solución digital de salud basada en IA que busca reducir la mortalidad por cáncer mediante la detección precoz y el seguimiento personalizado del paciente.
A través de tests digitales, chat médico, teleconsultas y análisis de riesgo, la plataforma identifica factores clave y acompaña al usuario en todo el proceso, desde la prevención hasta el diagnóstico y tratamiento.
MindMuscle: neurotecnología para mejorar la atención infantil
El proyecto estadounidense MindMuscle (anteriormente PigPug Health) combina neurotecnología, inteligencia artificial y neurofeedback para mejorar la atención en niños con TDAH, autismo y otros trastornos del desarrollo.
Mediante auriculares EEG no invasivos y juegos cognitivos personalizados, el sistema analiza la actividad cerebral en tiempo real y adapta los ejercicios para mejorar la concentración. Además, permite el seguimiento remoto por parte de especialistas, facilitando el acceso desde el hogar.
Mentoring, visibilidad e impacto social
Los cuatro finalistas recibirán apoyo estratégico de IE University a través de programas de mentoring, comunicación y desarrollo de negocio. Además, formarán parte de la Red Innova, una comunidad internacional de emprendimiento social que impulsa el intercambio de conocimiento y la escalabilidad de proyectos.
Con esta iniciativa, Fundación MAPFRE refuerza su compromiso con la innovación social, la tecnología aplicada al bienestar y el emprendimiento con impacto global.




